تحلیل لثه در ارتودنسی؛ علتها، علائم و روشهای درمان

آیا ارتودنسی دندان باعث تحلیل لثه می شود؟
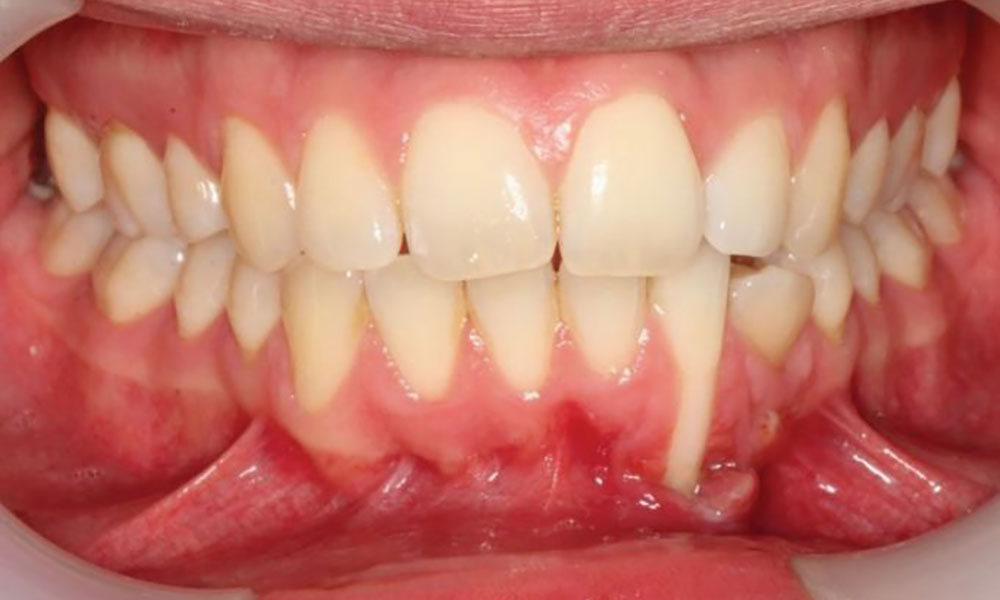
عقبرفتگی یا تحلیل لثه (Gum Recession) یکی از عوارض شایع بر اثر ارتودنسی است و زمانی رخ میدهد که براکتها به لثه فشار وارد میکنند یا دندانها در موقعیتهای جدیدی قرار میگیرند. در اغلب موارد، این مشکل پس از برداشتن براکتها بهبود مییابد، اما در برخی موارد ممکن است حتی پس از پایان درمان نیز باقی بماند.
در این مقاله، با دلایل، علائم و روشهای درمانی عقبرفتگی لثه ناشی از ارتودنسی دندان بیشتر آشنا میشوید.
عقبرفتگی لثه چیست؟
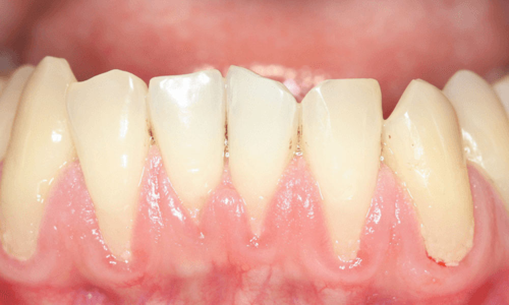
عقب رفتگی لثه شرایطی است که در آن لثه اطراف دندانها شروع به عقب رفتن میکند و ریشه دندان نمایان میشود. بهطور طبیعی، ریشههای دندان توسط لثه محافظت میشوند. وقتی این ریشهها نمایان شوند، بسیاری از افراد نسبت به غذاهای گرم، سرد، تند، شیرین یا اسیدی حساسیت بیشتری پیدا میکنند.
گرچه ارتودنسی یکی از دلایل رایج عقب رفتگی لثه است، اما این مشکل میتواند دلایل دیگری نیز داشته باشد.
چرا ارتودنسی باعث تحلیل لثه میشود؟
دو عامل اصلی باعث تحلیل لثه در حین ارتودنسی میشوند:
- فشار مستقیم براکتها بر روی لثه
- جابجایی دندانها به موقعیتهای جدید
در برخی افراد که فک کوچکی دارند یا چند دندانشان از دست رفته، تراکم بیشازحد دندانها میتواند با ارتودنسی بدتر شود و باعث تحلیل لثه گردد.
همچنین، افرادی که ارتودنسی دارند بیشتر در معرض ابتلا به بیماری های لثه قرار دارند؛ چرا که تمیز نگه داشتن دندانها و لثهها هنگام داشتن براکت سختتر است. بیماری لثه نوعی عفونت باکتریایی است که میتواند به لثهها آسیب بزند و حتی منجر به از دست رفتن دندان شود.
عقبرفتگی لثه ناشی از ارتودنسی چقدر شایع است؟
این مشکل نسبتاً رایج است. در واقع، سالانه حدود 400.000 نفر در آمریکا دچار تحلیل لثه ناشی از ارتودنسی میشوند. البته در اغلب موارد این تحلیل خفیف بوده و بسیاری از افراد حتی متوجه آن نمیشوند. اما در موارد شدید، ممکن است سلامت دندانها به خطر بیفتد و خطر از دست دادن دندان وجود داشته باشد.
چطور میتوان از عقبرفتگی لثه در حین ارتودنسی جلوگیری کرد؟
برای پیشگیری از این مشکل میتوانید اقدامات زیر را انجام دهید:
- رعایت بهداشت دهان و دندان: دو بار مسواک زدن در روز، نخ دندان کشیدن و استفاده از دهانشویه آنتیباکتریال میتواند خطر ابتلا به بیماری لثه را کاهش دهد.
- اجتناب از غذاهای سفت: جویدن شکلات سفت، یخ یا آجیل ممکن است به لثهها آسیب زده و احتمال تحلیل آنها را افزایش دهد.
- استفاده از گارد ارتودنسی: گاردهای سیلیکونی یا لاستیکی که روی براکتها قرار میگیرند، میتوانند از تحریک لثه جلوگیری کنند.
- عدم مصرف دخانیات: سیگار کشیدن ریسک بیماری لثه را افزایش میدهد و بر سلامت کلی دهان تأثیر منفی دارد.
- ویزیت منظم دندانپزشک: مراجعه منظم به دندانپزشک یا ارتودنتیست کمک میکند مشکلات احتمالی زودتر شناسایی و درمان شوند.
درمان عقب رفتگی لثه ناشی از ارتودنسی
در بسیاری از موارد، پس از برداشتن براکتها، لثهها به حالت طبیعی بازمیگردند. اما اگر تحلیل لثه باقی بماند یا شدید باشد، لازم است به پریودنتیست (متخصص بیماریهای لثه) مراجعه کنید. درمانهای ممکن عبارتاند از:
- پیوند بافت نرم: بخشی از بافت لثه از ناحیه دیگری از دهان برداشته شده و روی ناحیه تحلیلرفته قرار میگیرد.
- پیوند استخوان: اگر استخوان اطراف دندانها آسیب دیده باشد، از پیوند استخوان استفاده میشود.
- پروتئینهای محرک رشد: این مواد رشد بافت لثه جدید را تحریک میکنند.
- بیوپسی با برس (Brush Biopsy): نمونه کوچکی از بافت لثه برای بررسی دقیقتر برداشته میشود.
آیا میتوان با وجود عقبرفتگی لثه از ارتودنسی استفاده کرد؟
بله، مخصوصاً اگر تحلیل لثه خفیف باشد. اما اگر این مشکل شدید باشد، ممکن است قبل از آغاز درمان ارتودنسی نیاز به جراحی اصلاحی لثه وجود داشته باشد.
اگر در حین درمان ارتودنسی متوجه عقبرفتگی لثه شدید، حتماً با دندانپزشک خود مشورت کنید تا شرایط تحت نظر قرار گیرد و از تشدید آن جلوگیری شود.
آیا عقبرفتگی لثه مانع ارتودنسی میشود؟
خیر، این مشکل بهتنهایی مانع استفاده از براکتها نمیشود. تنها کافی است که بهداشت دهان و دندان را بهخوبی رعایت کنید و با ارتودنتیست خود مشورت نمایید. در صورت وجود عقبرفتگی شدید، گزینههای جراحی نیز برای اصلاح آن در دسترس هستند.
تحلیل لثه یکی از مشکلات رایج اما معمولاً خفیف در بین افرادی است که از براکت استفاده میکنند. اگر قصد دارید درمان ارتودنسی را شروع کنید، حتماً با ارتودنتیست درباره بهترین گزینه براساس شرایط دهان و دندانتان مشورت نمایید و همیشه بهداشت دهان و دندان را بهدرستی رعایت کنید؛ چرا که پیشگیری همیشه بهتر از درمان است.
اگر به دنبال مشاوره ارتودنسی هستید، میتوانید با کلینیک دندانپزشکی نیاز تماس بگیرید. برای اطلاعات بیشتر یا رزرو وقت رایگان از بخش «تماس با ما» استفاده کنید.
سوالات متداول
۱. آیا ارتودنسی باعث تحلیل لثه میشود؟
بله، ارتودنسی میتواند در برخی موارد باعث تحلیل لثه شود، بهویژه زمانی که فشار زیادی از سمت براکتها به بافت لثه وارد شود یا دندانها در موقعیتهای جدیدی جابهجا شوند.
۲. عقبرفتگی لثه ناشی از ارتودنسی دائمی است؟
در بسیاری از موارد، عقبرفتگی لثه پس از برداشتن براکتها بهبود مییابد. اما در برخی شرایط ممکن است این تحلیل باقی بماند و نیاز به درمان تخصصی توسط پریودنتیست داشته باشد.
۳. چطور میتوان از تحلیل لثه در ارتودنسی جلوگیری کرد؟
با رعایت بهداشت دهان و دندان، استفاده از گارد براکت، پرهیز از مصرف دخانیات و مراجعه منظم به دندانپزشک میتوان احتمال بروز تحلیل لثه را کاهش داد.
۴. آیا با وجود لثههای تحلیلرفته میتوان ارتودنسی کرد؟
بله، در صورتیکه تحلیل لثه خفیف باشد. اما اگر شدید باشد، ممکن است قبل از ارتودنسی نیاز به درمان یا جراحی لثه وجود داشته باشد.
۵. درمان تحلیل لثه ناشی از ارتودنسی چیست؟
درمانها شامل پیوند بافت نرم، پیوند استخوان، استفاده از پروتئینهای محرک رشد یا درمان بیماری لثه توسط پریودنتیست است.