ایمپلنت زیگوماتیک چیست؟ بررسی مزایا، معایب و هزینهها

ایمپلنت زیگوماتیک، راهحلی نوین برای بیمارانی با تحلیل شدید استخوان فک بالا
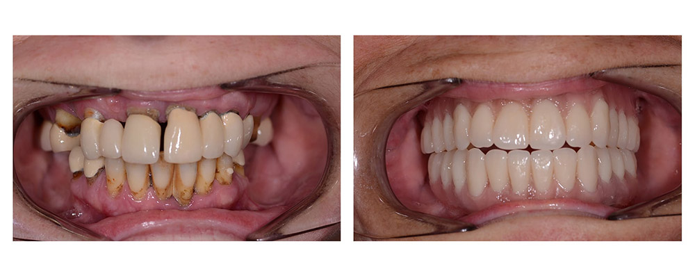
ایمپلنت زیگوماتیک (Zygomatic Implant) نوعی ایمپلنت دندانی پیشرفته است که برای بیمارانی با تحلیل شدید استخوان فک بالا طراحی شده است. برخلاف ایمپلنت های معمولی که در استخوان آلوئول (استخوان فک) قرار میگیرند، ایمپلنتهای زیگوماتیک در استخوان گونه (استخوان زیگوماتیک) جایگذاری میشوند. این روش انقلابی، جایگزین مناسبی برای پیوند استخوان در بیمارانی است که با کمبود شدید بافت استخوانی در فک بالا مواجه هستند.
ایمپلنت زیگوماتیک مناسب چه کسانی است؟
ایمپلنت زیگوماتیک عمدتاً برای بیمارانی استفاده میشود که شرایط زیر را دارند:
- تحلیل شدید استخوان فک بالا
- افرادی که امکان یا تمایل به انجام پیوند استخوان ندارند
- ایمپلنت دندان فک بالا سنتی که با شکست مواجه شده اند
- بیماران دچار عفونت یا بیماری لثه که منجر به از دست دادن استخوان شدهاند
- افرادی که سالها دندان مصنوعی استفاده کردهاند
تفاوت ایمپلنت زیگوماتیک با ایمپلنت معمولی
ویژگی | ایمپلنت معمولی | ایمپلنت زیگوماتیک |
---|---|---|
محل قرارگیری | استخوان فک | استخوان گونه |
طول ایمپلنت | 8 تا 15 میلیمتر | تا 55 میلیمتر |
نیاز به پیوند استخوان | گاهی بله | خیر |
زمان درمان | طولانیتر در برخی موارد | سریعتر، بدون نیاز به پیوند استخوان |
مراحل انجام ایمپلنت زیگوماتیک
مراحل انجام ایمپلنت زیگوماتیک به دلیل پیچیدگی جراحی و محل قرارگیری خاص آن (استخوان گونه) نیازمند بررسی دقیق، برنامهریزی تخصصی و اجرای گامبهگام است. در ادامه، مراحل این درمان بهصورت پاراگرافی و قابل فهم بیان شده است:
1. مشاوره و بررسی اولیه
در اولین جلسه، پزشک وضعیت کلی سلامت دهان و دندان شما را بررسی میکند. سوابق پزشکی، داروهایی که مصرف میکنید و سابقه بیماریهای سیستمیک (مثل دیابت یا پوکی استخوان) بررسی میشود. همچنین، وضعیت تحلیل استخوان فک بالا بهدقت ارزیابی میگردد.
2. تصویربرداری پیشرفته (CBCT) و آنالیز استخوان
برای ارزیابی دقیق ساختار استخوان فک و گونه، از تصویربرداری سهبعدی مانند CBCT (Cone Beam CT Scan) استفاده میشود. این تصاویر به پزشک کمک میکند تا محل دقیق قرارگیری ایمپلنت، زاویه و طول مناسب آن را تعیین کند و احتمال برخورد با سینوس یا عصبها را بررسی کند.
3. طراحی طرح درمان اختصاصی
با استفاده از اطلاعات بهدستآمده از معاینه و تصویربرداری، یک طرح درمان کامل تهیه میشود. این طرح ممکن است شامل استفاده از یک یا چند ایمپلنت زیگوماتیک به همراه ایمپلنتهای معمولی در نواحی دیگر باشد. در برخی موارد، درمان بهصورت بارگذاری فوری (Immediate Loading) طراحی میشود، یعنی دندان موقت بلافاصله پس از جراحی نصب میشود.
4. انجام جراحی ایمپلنت زیگوماتیک
این مرحله در شرایط استریل و معمولاً در کلینیکهای تخصصی تحت بیحسی موضعی یا بیهوشی عمومی انجام میشود. در این جراحی، ایمپلنت بلند زیگوماتیک با زاویه خاصی از طریق فک بالا وارد استخوان گونه (زیگوماتیک) میشود. این نوع جراحی نیازمند مهارت بالا و تجربه تخصصی جراح فک و صورت است.
5. نصب پروتز موقت (در صورت امکان)
در بسیاری از موارد، پس از جایگذاری ایمپلنتها، پروتز موقت روی آنها نصب میشود. این کار باعث میشود بیمار بلافاصله پس از جراحی بتواند غذاهای نرم بخورد و ظاهر طبیعیتری داشته باشد.
6. دوره ترمیم و اسئواینتگریشن (جوش خوردن استخوان و ایمپلنت)
در این مرحله، استخوان گونه شروع به جوش خوردن با سطح ایمپلنت میکند. این فرایند ممکن است بین ۳ تا ۶ ماه طول بکشد. در این زمان، بیمار باید دستورالعملهای پزشک را رعایت کرده و از فشار زیاد روی ایمپلنتها خودداری کند.
7. ساخت و نصب پروتز دائمی
پس از اطمینان از ثبات و جوش خوردن کامل ایمپلنتها، دندانساز متخصص پروتز نهایی را بر اساس قالبگیری دقیق میسازد. این پروتز معمولاً بسیار زیبا، طبیعی و کاملاً منطبق با ساختار فک و صورت بیمار خواهد بود.
8. مراقبتهای بعد از درمان و مراجعات دورهای
پس از نصب دندانهای دائمی، مراقبت منظم از دهان و دندان، استفاده صحیح از نخ دندان و دهانشویه، و مراجعات دورهای برای بررسی وضعیت ایمپلنتها ضروری است. این اقدامات کمک میکند تا عمر ایمپلنتها افزایش یافته و از بروز عفونت یا تحلیل استخوان جلوگیری شود.
مزایای ایمپلنت زیگوماتیک
- عدم نیاز به پیوند استخوان
- مناسب برای بیماران با تحلیل شدید استخوان فک بالا
- کاهش تعداد جراحیها و مدت زمان درمان
- امکان بارگذاری فوری پروتز (Immediate Loading)
- افزایش استحکام و ثبات ایمپلنت
- بازگرداندن عملکرد طبیعی جویدن و صحبت کردن
- بهبود زیبایی لبخند و ظاهر صورت
- جایگزین مناسب برای پروتزهای متحرک و دندان مصنوعی
معایب و چالشهای ایمپلنت زیگوماتیک
- هزینه بالاتر نسبت به ایمپلنت معمولی
- نیاز به جراحی پیچیده و تخصصی
- احتمال بروز مشکلات سینوسی
- محدود بودن تعداد متخصصان مجرب در این حوزه
- دوره نقاهت نسبتاً طولانیتر در برخی بیماران
- امکان بروز درد، تورم یا کبودی پس از جراحی
- در صورت اجرای نادرست، خطر عدم موفقیت درمان وجود دارد
مراقبتهای بعد از ایمپلنت زیگوماتیک
- رعایت بهداشت دهان و دندان (مسواک زدن منظم و استفاده از دهانشویه)
- مصرف منظم داروهای تجویزشده (آنتیبیوتیک و مسکن)
- استراحت کافی در روزهای ابتدایی پس از جراحی
- مصرف غذاهای نرم و پرهیز از جویدن غذاهای سفت
- پرهیز از مصرف دخانیات و الکل
- استفاده از کمپرس سرد برای کاهش تورم و کبودی
- مراجعه منظم به پزشک برای بررسی روند بهبود
- تعویض بهموقع پروتز موقت با پروتز دائمی طبق برنامه درمانی
دریافت اطلاعات بیشتر: دستورات لازم بعد از جراحی ایمپلنت
هزینه ایمپلنت زیگوماتیک چقدر است؟
هزینه ایمپلنت زیگوماتیک به عوامل مختلفی بستگی دارد و نمیتوان یک عدد ثابت برای آن در نظر گرفت. از جمله فاکتورهای مؤثر در تعیین هزینه میتوان به تعداد ایمپلنتهای مورد نیاز، مهارت و تجربه جراح، موقعیت جغرافیایی کلینیک و همچنین نوع پروتزی که مورد استفاده قرار میگیرد (موقت یا دائمی) اشاره کرد. در مقایسه با ایمپلنتهای معمولی، هزینه این نوع ایمپلنت معمولاً بالاتر است، اما از آنجایی که نیاز به پیوند استخوان را از بین میبرد و زمان کلی درمان را کوتاهتر میکند، میتواند در بلندمدت مقرونبهصرفهتر و کارآمدتر باشد.
سوالات متداول (FAQ)
1. ایمپلنت زیگوماتیک چیست؟
ایمپلنت زیگوماتیک نوعی ایمپلنت دندانی بلند است که به جای استخوان فک در استخوان گونه (زیگوماتیک) قرار میگیرد و برای بیمارانی با تحلیل شدید استخوان فک بالا کاربرد دارد.
2. چه افرادی کاندیدای مناسب ایمپلنت زیگوماتیک هستند؟
افرادی که دچار تحلیل شدید استخوان فک بالا شدهاند و امکان یا تمایل به پیوند استخوان ندارند، کاندیدای مناسب این روش هستند.
3. آیا ایمپلنت زیگوماتیک درد دارد؟
جراحی تحت بیحسی یا بیهوشی انجام میشود و درد پس از عمل با داروهای تجویزشده قابل کنترل است.
4. چقدر طول میکشد تا ایمپلنت زیگوماتیک به استخوان جوش بخورد؟
معمولاً بین ۳ تا ۶ ماه طول میکشد تا فرایند اسئواینتگریشن (جوش خوردن ایمپلنت با استخوان) کامل شود.
5. آیا میتوان بلافاصله بعد از جراحی، دندان گذاشت؟
در بسیاری از موارد، بارگذاری فوری انجام میشود و دندان موقت در همان روز یا چند روز بعد روی ایمپلنتها قرار میگیرد.
6. هزینه ایمپلنت زیگوماتیک چقدر است؟
هزینه بستگی به تعداد ایمپلنت، مهارت پزشک، تجهیزات مورد استفاده و محل درمان دارد؛ معمولاً بالاتر از ایمپلنتهای معمولی است.
7. ماندگاری ایمپلنت زیگوماتیک چقدر است؟
در صورت مراقبت مناسب و مراجعه منظم به پزشک، ماندگاری این ایمپلنتها میتواند بیش از ۱۵ سال یا حتی مادامالعمر باشد.