باندینگ دندان | ترمیم لبپریدگی و تغییر رنگ دندان
اگر شما دندان تراش خورده ، ترک خورده یا تغییر رنگ داده دارید، یک عمل زیبایی دندان مانند اتصال یا باندینگ دندان می تواند به شما اطمینان دهد که با آن سفیدهای مرواریدی چشمک بزنید.
باندینگ دندان یا اتصال دندان روشی است که دندانپزشک شما برای ترمیم آسیب ، رزین کامپوزیتی به رنگ دندان را به یک یا چند دندان شما می زند. این یک راه حل مقرون به صرفه است ، زیرا نسبت به سایر روش های زیبایی دندان مانند روکش و ونیر دندان بسیار کم هزینه تر است.
در اینجا مواردی است که شما باید در مورد این فرآیند و همچنین خطرات و هزینه های مرتبط با اتصال یا باندینگ دندان بدانید.
باندینگ دندان چیست؟ چگونه کار می کند؟
باندینگ دندان ساده تر از سایر روش های زیبایی دندان است. آنقدر ساده که این روش معمولاً به بی حسی احتیاج ندارد – مگر اینکه حفره ای را پر کنید – و نیازی به مراجعه مکرر به دندانپزشک نیست.
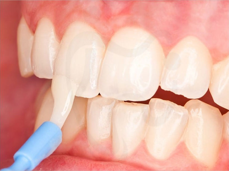
برای شروع روند ، دندانپزشک شما با استفاده از یک راهنمای سایه ، رنگ رزین کامپوزیتی را انتخاب می کند که با رنگ دندان های طبیعی شما مطابقت داشته باشد. دندانپزشک شما سطح دندان را زبر کرده و سپس مایعی را استفاده می کند که باعث می شود ماده چسبنده به دندان بچسبد.
دندانپزشک شما رزین کامپوزیت را روی مایع قرار می دهد ، دندان را قالب می گیرد و یا به آن شکل می دهد و سپس با نور ماوراء بنفش مواد را سفت می کند.
در صورت لزوم ، دندانپزشک می تواند بعد از سفت شدن رزین ، دندان را بیشتر فرم دهد.
قیمت باندینگ دندان در کلینیک دندانپزشکی نیاز

چرا می توان دندان را باند کرد؟
اتصال دندان می تواند نقص موجود در دندان را برطرف کند. برخی از افراد از باندینگ برای ترمیم دندان پوسیده ، ترک خورده یا تغییر رنگ داده استفاده می کنند. این روش همچنین می تواند شکاف های کوچک بین دندان ها را از بین ببرد.
اتصال دندان همچنین می تواند اندازه دندان را افزایش دهد. به عنوان مثال ، ممکن است شما دندانی داشته باشید که کوتاهتر از بقیه باشد و می خواهید طول همه آنها یکسان باشد.
باندینگ یک روش سریع است و به زمان کمتری نیاز ندارد. اگر به بی حسی احتیاج ندارید ، می توانید به روال عادی روزانه خود ادامه دهید.
به طور معمول ، اتصال دندان بین 30 تا 60 دقیقه طول می کشد. بعضی از قرارها بسته به میزان روش ممکن است طولانی تر شوند.
آیا خطری در اتصال دندان وجود دارد؟
اتصال دندان هیچ خطری ندارد.
به خاطر داشته باشید که رزین کامپوزیتی که با این روش استفاده می شود به اندازه دندان های طبیعی شما قوی نیست.
ممکن است مواد از دندان واقعی شما تراشیده یا جدا شوند. خرد کردن یا شکستن ، اغلب با روکش، ونیر یا پر کردن اتفاق نمی افتد.
اگر با دندان یخ رده غذای داغ بخورید ، یخ بخورید ، قلم یا مداد بجوید ، ناخن های خود را گاز بگیرید یا غذای سفت یا آب نبات را گاز بگیرید.
این رزین به اندازه سایر مواد دندانی در برابر لک مقاوم نیست. اگر سیگار بکشید یا مقدار زیادی قهوه بنوشید ممکن است دچار تغییر رنگ شود.

نحوه آماده سازی برای باندینگ دندان
اتصال دندان نیاز به آماده سازی خاصی ندارد. اما لازم است با دندانپزشک خود مشورت کنید تا ببینید آیا شما کاندید این روش هستید یا خیر.
اگر دندان شما آسیب جدی دیده یا پوسیده شده باشد ، اتصال نمی تواند کار کند. در عوض ممکن است به روکش دندان یا ونیر کامپوزیت نیاز داشته باشید.
چگونه از دندانهای باند شده مراقبت کنیم ؟
مراقبت از دندان ها به افزایش طول عمر دندان باند شده کمک می کند. نکات مربوط به خودمراقبتی شامل موارد زیر است:
- حداقل دو بار در روز مسواک بزنید و روزانه نخ دندان بکشید.
- پرهیز از غذای سفت و آب نبات
- ناخن های خود را نجوید
- از مصرف قهوه ، چای و تنباکو در طی دو روز اول بعد از عمل خودداری کنید تا از ایجاد لکه جلوگیری کنید.
- برنامه ریزی منظم برای تمیز کردن دندان ها هر شش ماه
اگر به طور تصادفی مواد اتصال دهنده را تراش داده یا شکسته اید ، یا اگر بعد از عمل لبه های تیز یا خشن دارید ، به دندانپزشک مراجعه کنید.
هزینه باندینگ دندان چقدر است؟
هزینه اتصال دندان بر اساس محل ، میزان عمل و تخصص دندانپزشک متفاوت است. شما باید هر 5 تا 10 سال این اتصال دندان را تعویض کنید.
قبل از تعیین وقت قبلی با ارائه دهنده بیمه دندانپزشکی خود مشورت کنید. برخی از بیمه ها باندینگ دندان را یک عمل زیبایی می دانند و هزینه ای را پرداخت نمی کنند.
باندینگ دندان در کلینیک دندانپزشکی نیاز
کلینیک دندانپزشکی نیاز با بهرهگیری از جدیدترین تکنیکها و مواد با کیفیت، خدمات باندینگ دندان را به بیماران خود ارائه میدهد. باندینگ دندان روشی سریع و موثر برای ترمیم دندانهای شکسته، ترک خورده، تغییر رنگ داده یا دارای فاصله بین دندانی است. در این روش، دندانپزشک با استفاده از مواد کامپوزیتی همرنگ دندان، نواحی آسیبدیده را ترمیم کرده و ظاهری زیبا و طبیعی به دندانها میبخشد.
یکی از مزایای مهم باندینگ دندان در کلینیک نیاز، سرعت و سهولت انجام آن است. این روش معمولاً در یک جلسه انجام میشود و نیاز به آمادهسازی خاصی ندارد. همچنین، هزینه باندینگ نسبت به روشهای دیگر مانند روکش یا لمینت دندان کمتر است. با انجام باندینگ دندان در کلینیک نیاز، شما میتوانید لبخندی زیبا و اعتماد به نفس بیشتری داشته باشید.
مزایای باندینگ دندان در کلینیک نیاز
- سرعت و سهولت انجام: باندینگ دندان در کلینیک نیاز معمولاً در یک جلسه انجام میشود و نیاز به آمادهسازی خاصی ندارد.
- هزینه مناسب: نسبت به روشهای دیگر ترمیم دندان مانند روکش یا لمینت، باندینگ دندان هزینه کمتری دارد.
- ظاهر طبیعی: مواد کامپوزیتی استفاده شده در باندینگ دندان همرنگ دندانهای طبیعی هستند و ظاهری زیبا و طبیعی به دندانها میبخشند.
- ترمیم سریع دندانهای شکسته یا ترک خورده: باندینگ دندان روشی سریع و مؤثر برای ترمیم دندانهای آسیبدیده است.
- پوشش لکهها و تغییر رنگ دندانها: با باندینگ دندان میتوان لکهها و تغییر رنگهای سطحی دندان را پوشاند.
- بسته شدن فاصله بین دندانها: باندینگ دندان میتواند برای بستن فاصلههای کوچک بین دندانها استفاده شود.
- کمترین میزان تراشیدن دندان: در مقایسه با روشهای دیگر مانند روکش یا لمینت، در باندینگ دندان مقدار بسیار کمی از مینای دندان تراشیده میشود.
- قابلیت ترمیم: در صورت آسیب دیدن باندینگ، میتوان آن را به راحتی ترمیم کرد.
با توجه به مزایای ذکر شده، باندینگ دندان در کلینیک نیاز میتواند گزینه مناسبی برای افرادی باشد که به دنبال روشی سریع، موثر و مقرون به صرفه برای ترمیم دندانهای خود هستند.
تماس با کلینیک نیاز
آدرس: تهران – میدان جمهوری – خیابان آذربایجان غربی – بین نواب و رودکی – نبش کوچه فرشته – پلاک 600 – طبقه اول
شماره تماس : 02166000003
پشتیبانی فنی: 09028080251



